안녕하세요 건강한 음식 '건음'입니다.

오늘은 치아 빈 공간 방치 시 발생 가능한 문제와 치료법에 대해 알아보겠습니다.
✅ 인기글
✔ 불면증에 좋은 천연 수면제 3가지(감태·바나나·대추)
치아 빈 공간 방치 시 발생 가능한 문제와 치료법
일반적으로 사랑니를 제외한 성인의 치아 개수는 28개입니다. 각 치아의 고유 역할들이 있지만 여러 요인들로 1~2개의 치아를 상실한 경우에도 일상생활에서 큰 불편함이 없다면 대수롭지 않게 여기고 방치하는 사례도 많습니다. 치아 빈 공간을 방치했을 때 어떤 문제들이 발생할 수 있을까요? 또, 그 치료에는 어떤 것들이 있을까요? 관악서울대치과병원 치과보철과 백연화 교수와 함께 알아보겠습니다.
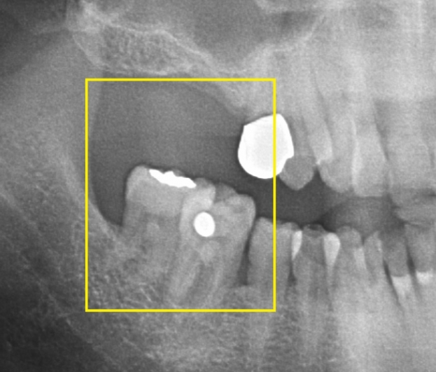
치아가 빠져 빈 공간이 생기게 되면 빠진 치아의 옆 치아 혹은 위아래로 맞닿는 치아가 그 빈 공간으로 이동하게 돼 치열이 망가지게 되면 틈이 생기고 음식물이 끼기 시작합니다. 음식물이 자주 끼게 되고 관리마저 잘되지 않으면 붓고 통증이 생깁니다.


백연화 교수는 "빈 공간을 지속적으로 방치하면 음식물을 씹는 것이 어렵게 돼, 소화 장애나 영양 부족 등 각종 전신적인 합병증을 유발할 수 있다"라며, "한 두 개의 치아가 빠져 지금 당장 불편감이 없다고 방치한다면 향후 치료를 받고자 할 때 추가적인 교정이나 보철치료 외에도 심한 경우 치아를 모두 발치해야 할 수도 있다"라고 전했습니다.
이어 백 교수는 "치료의 적기를 놓치면 멀쩡한 치아에 하지 않아도 됐을 치료를 하게 돼, 훨씬 더 큰 비용과 시간이 소요될 수 있고, 치료 결과도 좋지 않을 가능성이 높다"라며, "치아가 망가졌다면 가능한 한 빨리 치과 방문 후 적절한 치료를 받는 것이 필요하다"라고 조언했다고 합니다. 치아가 빠진 자리를 수복하는 방법에는 브릿지, 틀니 그리고 임플란트 등이 있습니다. 치아가 빠진 위치나 골상태, 주변 치아 상태 등에 따라 선택하게 되는 치료 방법은 달라집니다.
대표적인 치료 방법인 임플란트는 인공 뿌리를 심고 그 위에 치아 머리를 수복하는 것으로, 주변 치아의 손상 없이 구조를 복원할 수 있습니다. 임플란트 치료 기간은 발치 후 임플란트 심기 전까지의 대기시간과 임플란트를 심은 후 상부 보철물을 씌우기까지 대기시간에 따라 결정된다고 합니다. 전통적인 과정은 발치 후 3~4개월 정도를 기다려 치아의 뿌리가 있던 공간에 뼈가 어느 정도 차면, 임플란트를 심습니다. 이후 3개월 이상 기다려 뼈와 임플란트가 완전히 붙으면 보출물을 씌웁니다.
백연화 교수는 "최근에는 임플란트 디자인 및 표면 처리 방법 외에도 수술 기법 등이 발달해 6~8주 정도로 치료 기간이 짧아지고 있는 추세"라며, "제한적인 경우에 한해 발치 당일 임플란트 수술 및 임시 보철물까지 즉시 연결하기도 한다"라고 말했습니다.
한편, 임플란트의 수명에 대해 '한 번 심으면 평생 쓴다'라는 속설이 있습니다. 이에 대해 백 교수는 "임플란트는 영구적인 것이 아니며 임플란트의 수명에 영향을주는 많은 요인들이 있다"라며, "원래 환자의 골 상태가 좋지 않고 치주염이 심한 경우 임플란트 수명 역시 짧을 가능성이 높다"라고 답했습니다. 이어 "환자의 구강 관리 습관, 흡연 여부, 당뇨 등 전신적인 건강 상태도 임플란트 수명에 영향을 줄 수 있다"라며, "이밖에도, 환자의 저작력이 강하거나, 질기고 딱딱한 음식을 먹는 등의 식습관, 이갈이, 이를 꽉 무는 버릇 등 임플란트에 지속적으로 강한 힘을 가하는 경우 임플란트 수면 단축에 영향을 주기도 한다"라고 말했습니다. 끝으로 백연화 교수는 "임플란트 수복치료가 완료됐을 때 '치료의 끝이 아닌 시작'으로 생각하고 지속적인 관리와 주기적인 치과방문을 통해 점검과 치료를 받을 것을 권장한다"라고 전했다고 합니다.
2024.07.12 - [건강한 음식] - 충치 생기는 이유! 충치는 전염성 질환이다?
충치 생기는 이유! 충치는 전염성 질환이다?
안녕하세요 건강한 음식 '건음'입니다. 오늘은 충치가 생기는 이유와 충치가 전염성 질환인지 알아보고 충치를 막으려면 어떻게 해야 하는지 함께 알아보겠습니다. ✅ 인기글✔ 피부 곰팡이균
myhealthy-food.com
2022.04.15 - [건강 정보] - 가짜 입냄새가 충치를 만든다❓
가짜 입냄새가 충치를 만든다❓
안녕하세요 건강한 음식 건음입니다. 오늘은 마스크 속 입냄새에 대해 알아보고 가짜 입냄새를 느끼는 자가구취증 원인과 치료법에 대해 알아보겠습니다. ✅ 인기글 ✔ 불면증에 좋은 천연 수
myhealthy-food.com
2021.12.31 - [건강 정보] - 연령별 신경써야 할 대표 구강질환 예방법
연령별 신경써야 할 대표 구강질환 예방법
안녕하세요 건강한 음식 건음입니다. 오늘은 국민건강보험에서 전하는 연령별 신경써야 할 대표 구강질환 예방법에 대해 소개해 드리겠습니다. 연령별 신경써야 할 대표 구강질환 예방법 우리
myhealthy-food.com
2021.12.11 - [건강 정보] - 급격히 나빠지는 치과·구강 질환 증상별 치료법 알아보기
급격히 나빠지는 치과·구강 질환 증상별 치료법 알아보기
안녕하세요 건강한 음식 건음이~입니다. 코로나19 때문에 아이들 치아 건강에 빨간불이 들어왔다고 합니다. 그래서 오늘은 어떤 치과·구강 질환이 있는지 알아보고 증상별 치료법을 알아보겠습
myhealthy-food.com
2022.01.22 - [건강 정보] - 영·유아 치아 건강과 관리법
영·유아 치아 건강과 관리법
안녕하세요 건강한 음식 건음입니다. 오늘은 우리 아이 첫 치과 방문 시기는 언제인지, 첫 치아는 언제 나오는지, 영유아 구강검전은 언제 어떻게 받아야 하는지, 인공 젖꼭지는 언제까지 사용
myhealthy-food.com
자료 = 리얼푸드
그럼 여기까지 치아 빈 공간 방치 시 발생 가능한 문제와 치료법에 대해 알아보았습니다.
감사합니다.
'건강 정보' 카테고리의 다른 글
| 뇌졸중 후유증 고관절골절 치명적! (1) | 2024.08.07 |
|---|---|
| 플라스틱 병 생수 2주간 마셨더니 고혈압? (0) | 2024.08.07 |
| 족저근막염 증상과 원인 및 예방법 (0) | 2024.08.04 |
| 고령화 사회 뼈 건장 지키는 방법 (0) | 2024.08.03 |
| '비피도박테리움 롱금' 과민성 장증후군 치료 효과 (0) | 2024.08.01 |
댓글